El flúor es uno de los elementos químicos más usados en la prevención…
Transformamos tu sonrisa con ciencia, arte y confianza
Expertas en odontología estética, implantes y turismo dental.
Expertas en odontología estética, implantes y turismo dental.
Tratamientos personalizados con tecnología avanzada para transformar tu sonrisa.
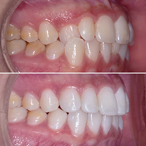
Cada sonrisa cuenta una historia. Conoce algunas transformaciones reales de nuestros pacientes.
⭐⭐⭐⭐⭐
“Un Lugar que te brinda confianza, seguridad y sobre todo mucho cariño. La Doc Veronica muy profesional, super recomendada sobre todo si tienes temor hacia los odontologos, te va a cambiar totalmente la percepción de la Profesión. 10/10.”
Lader M.
⭐⭐⭐⭐⭐
“Super agradecida con la doctora Verónica por su atención y por haber salvado mis dientes. Excelente profesional y excelente tratamiento para dientes que habían sido casi desahuciados.”
Eliana C.
⭐⭐⭐⭐⭐
“Excelente atención, doctora y persona absolutamente maravillosa, paciente, y experta. La mejor experiencia de odontología que he tenido, siempre con paciencia y tacto.
100% recomendada.”
Nath D.
⭐⭐⭐⭐⭐
“Me cambiaron el diseño de sonrisa que tenía de resina por carillas de cerámica , y el resultado fue asombroso, estoy muy contenta! Recomendable 100%”
Zoraida N.
⭐⭐⭐⭐⭐
“El equipo de AMC Odontología es profesional, confiable y cálido. Los procedimientos relacionados con mi salud oral fueron llevados con responsabilidad y dedicación. 100% recomendadas.”
Yele V.
⭐⭐⭐⭐⭐
“Tuve una emergencia porque me caí y me rompí un diente y las conseguí por la buena reputación que tienen aquí en google y no es mentira. El consultorio, súper aseado, ordenado y limpio, las doctoras y ayudante son muy profesionales porque ayudaron a devolverme la sonrisa en cuestión de un momento, me hicieron sentir feliz, aparte me realice una limpieza que quedé como nueva, diente nuevo y limpieza nueva. Lo recomiendo con los ojos cerrados, ahora es mi lugar de odontología de confianza, muchas gracias en serio 💓”
Giselle F.
⭐⭐⭐⭐⭐
“Haber estado en manos de Vero y su equipo fue la mejor decisión para mis dientes. Tuve la fortuna de hacerme ortodoncia, sacar cordales, hacer blanqueamiento, limpiezas y todo lo que ha sido recomendación de vero para mantener mis dientes sanos como los tengo hoy. Gracias Vero y Adri por todo su cuidado durante estos años.”
Juanita F.
⭐⭐⭐⭐⭐
“Son las mejores y mi hijo tuvo la mejor experiencia en su tratamiento de ortodoncia, fue rápido y con los mejores resultados. Verónica quedó como su odontologa para toda su vida dicho por él. 🥰😁☺️. Gracias…”
Johanna F.
⭐⭐⭐⭐⭐
“Hace casi 10 años que voy a AMC Odontología. Siempre me ha ido excelente, las dentistas son muy profesionales, honestas y dedicadas en su trabajo.”
Cristian B.
⭐⭐⭐⭐⭐
“El conocimiento, la experiencia y la calidez humana encontradas en ellas son un factor importante a la hora de poner tus dientes, algo tan determinante en tu vida en las manos de alguien, Prestas siempre con una sonrisa y dispuestas a tratarte muy bien!”
Andrés S.
Combina tu tratamiento dental con una experiencia inolvidable en Colombia. Nosotros te acompañamos en cada paso.

Directora Clínica de AMC Odontología
“Creo en una odontología cercana y consciente. Cada sonrisa es una historia de bienestar y autoestima.
Mi propósito es acompañarte con empatía, precisión y tecnología avanzada para que sonrías con seguridad.”
El flúor es uno de los elementos químicos más usados en la prevención…
El famoso “Diseño de sonrisa” abarca varios procedimientos que pueden realizarse en el…
La edad ideal para la primera valoración de ortodoncia es a los 6…
Completa el formulario y nos pondremos en contacto contigo para programar tu valoración.
